
Nicht jeder weiß, was Arthrose ist, da die Menschen in den Behandlungsmethoden verwirrt sind und die Prinzipien der Pathologie -Diagnose nicht verstehen. Arthese ist eine schwerwiegende dystrophische Verletzung, die die Verletzung der Knorpelgewebe in der intraartikulären Hohlheit verursacht. Die Komplexität der Therapie ist mit der Irreversibilität der Prozesse verbunden. Es ist nicht möglich, eine vollständige Heilung im Rahmen der modernen Medizin zu erhalten, aber die Schwere der Symptome kann verringert und das Fortschreiten der Pathologie verlangsamt werden. Bei angemessener Behandlung setzt eine Person den üblichen Lebensstil für lange Zeit fort.
Was ist Arthrose?
Auf die gleiche Weise ist es für Arthrose einfacher, eine Krankheit zu sein, die eine Krankheit der Gelenke ist, die die Einschränkung der Amplitude von Bewegung und Schmerzen verursacht. In der ersten Phase des Schadens gibt es keine Manifestationen, sie haben eine leichte Schwerkraft und waschen weg. Allmählich wird die Pathologie fortschreitet. Dies wird durch Veränderungen im Zusammenhang mit dem Alter im Körper, der Stress, der Verletzungen usw. gemäß Statistiken, etwa 80% der Bevölkerung über 60 Jahre, aus Arthroose erleichtert.
Die Arthrose des Gelenks entwickelt sich lange Zeit, betrifft zunächst nur die Knorpel Ialina und breitet sich dann auf die Knochen aus, betrifft die Synovialschale, die Muskeln und die gesamte Kapsel des Gelenks. In der ersten oder frühen Phase der Arthrose manifestiert sich die Läsion leicht: kleine Schmerzen nach harter Arbeit, Schwellung, Rötung der Haut. Aufgrund der Unkenntnis unangenehmes Empfindungen ist die Artikulation deformiert, entzündet, bringt schwerwiegende Schmerzen, ihr Höhepunkt fällt am Morgen. Die Krankheit ist durch das Verschwinden von Schmerzen nach der Entwicklung des Gelenks gekennzeichnet. Wenn nicht behandelt, verliert eine Person die Mobilität des Gelenks vollständig.

Es gibt eine primäre und sekundäre Form der Arthrose. Die Pseudo-Arthrose (Neoartrose) fällt ebenfalls auf, nicht viele Menschen wissen, was es ist, da sie seltener gebildet ist als andere Sorten. Neoartrose ist eine falsche Artikulation, daher nimmt das Knorpelgewebe an einem ungewöhnlichen Ort zu, an dem der Schaden erhalten wurde. Es ist schwer zu behandeln, hauptsächlich chirurgisch.
Es gibt eine Pathologie aufgrund von Störungen der regenerativen Funktion, Immunität oder mechanischer Schädigung. Aufgrund verschiedener Knorpelursachen wird es dünner. Unter normalen Bedingungen erhält das Knorpelgewebe eine ausreichende Ernährung für die Genesung, aber nach übermäßiger körperlicher Anstrengung oder aufgrund eines Verstoßes gegen Stoffwechselprozesse haben die Gewebe keine Zeit, sich zu regenerieren. In der ersten Phase bleibt die gemeinsame Mobilität. Nach Ansicht, welche Arthrose eine Definition ist, lohnt es sich, die Entwicklung der Pathologie ausführlicher zu vertiefen.
Der Mechanismus der Arthrose, seine Typen
Viele Arthrosesorten entwickeln sich nach einem ähnlichen Schema:
- Die Primärverletzung wirkt sich auf die Knorpel ialina aus. Bei Kreislaufstörungen tritt eine Verschlechterung der pathologischen Kraft auf. Es ist der erste Schritt oder die erste Ursache, die Arthrose auftreten kann.
- IALINA -Beschichtungspathologien. Die Ausdünnung des Knorpels führt zum Ersatz seiner pathologischen Gewebe - Knochenstrukturen.
- Die anomalen Wachstum erscheinen auf Knorpel - Osteophyten.
- Die Verletzung der natürlichen Anatomie von Knorpel und Knochen verursacht die Überlastung gesunder Knorpelbereiche. Die Zerstörung von gemeinsamen Geweben ohne Behandlung führt ständig voran und führt zu Behinderungen.
Wenn der Krankheitsgrad zunimmt, sind pathologische Prozesse immer noch verschlimmert. Am Ende wird der gesamte Knorpel Ialina zerstört.
Der jüngste Krankheitsgrad führt zu:
- Beteiligung am pathologischen Prozess der Knochen unter und über den Knorpeloberflächen;
- Reizung einer Gelenkschale, begrenzte Mobilität, die 2 Grad zu Behinderung führt;
- Erhöhung der Dichte der Kapsel;
- Reduzieren Sie die Lücke in die Lücke des Gelenks, die auf dem Foto deutlich wird. Das Stadium des Verstoßes wird vom diagnostisch-Anthgenologen bestimmt. Der Patient spürt die Komplexität oder Unfähigkeit, das Glied zu begradigen und vollständig zu falten.
- Gelenkverformung, der Knorpel erhält eine unregelmäßige Form, die Krümmung verursacht;
- Verschlechterung der Bedingungen des Patienten mit vollständiger Zerstörung des Gelenks.
Osteoarthritis -Phase
Gelenkkrankheiten haben 3 Entwicklungsphasen:

- 1 Grad. Morphologische Störungen haben bereits begonnen, sind aber noch nicht offensichtlich. Die Pathologie beeinflusst hauptsächlich den Zustand der Synovialflüssigkeit, wodurch die Knorpelgewebe mit Nährstoffkomponenten verschlechtert werden und die Stärke des Knorpels verringert. Die Last der Gelenke verursacht Entzündungen und Schmerzen.
- Phase 2 Die Schmerzen erwerben einen ausgeprägteren Charakter, der nach einer langen Pause verstärkt wurde, sie werden durch eine kleine körperliche Arbeit beseitigt. Der Schmerz wird von Entzündungen begleitet. Die Muskeln sind verlängert, was zu motorischen Funktionen mit schwachen oder mittleren Behinderungen führt.
- 3 Grad. Oft gibt es Schmerzen, es ist schwierig, das Glied aufgrund von Veränderungen im Gelenk zu bewegen. Die Läsionen werden erweitert, sie werden sich dem nackten Erscheinungsbild ersichtlich. Die Verformung der Gelenkstelle tritt auf, der betroffene Bereich schwillt an und wird rot. Die Achse des Gliedes wird gestört, was zur Komplexität der Bewegung führt. Pathologische Veränderungen verursachen die Verkürzung von Bändern. Subbules und Vertrag erscheinen. Die angrenzenden Muskeln werden abgekürzt oder verlängert, aus denen die kontraktile Funktion geschwächt wird.
Ursachen und Risikofaktoren für die Entwicklung von Arthrose
Die Ursachen der Arthrose der Gelenke unterscheiden sich je nach Form der Pathologie. Durch die Verformung der Arthrose des Ellbogengelenks entwickelt sich die Arterie -Artikulation und die Schulterarthrose manchmal ohne offensichtliche Ursachen, es ist möglich, sie mit einem Arzt zu erkennen, ein Spezialist in Rheumatologie. Wenn das Problem nicht sichtbare Pathologien vorausgeht, wird die Krankheit als primär bezeichnet. Die sekundäre Form des Verstoßes wird hauptsächlich diagnostiziert, sie kann verschiedene Zustände verursachen.
Die Hauptgründe für die Entwicklung:
- Mechanische Schäden: Versetzungen, Brüche, Verlängerung, Meniskusverletzungen;
- Eine Reihe endokriner Störungen im Zusammenhang mit Fehlfunktionen in der Arbeit der Immunität;
- Stoffwechsel Pathologien;
- Dysplasie (angeborene Anomalien von Gelenkgeweben);
- hat eine Entzündung der Gelenke unterzogen;
- Pathologien, die zu einer hohen Mobilität der Gelenke und einer Schwächung der Bänder führen.
Hochliche Patienten haben aufgrund prädisponierender Faktoren häufig eine Krankheit erfüllt:
- Altersbezogene Veränderungen;
- Leichtes Gewicht und IMC nehmen zu. Die hohe Belastung des Gelenks führt zu einem schnellen Gelenkverschleiß;
- Mangel an vorteilhaften Substanzen;
- Übermäßige Belastung der Fugen. Der Grund ist ein intensives Training, Sport, harte körperliche Arbeit;
- Schwierige Arbeitsbedingungen oder ein falscher Sportansatz. Wenn es eine genetische Tendenz zur Beschädigung, gemeinsamen Läsionen oder ähnlichen Krankheiten gibt, ist es wichtig, sich an ein spezielles Trainingsprogramm zu halten und traumatische und schwierige Übungen zu vermeiden.
- Die postoperative Erholungsperiode oder der komplex übertragene Operationen im Zusammenhang mit der Exzision eines großen Teils der betreffenden Stoffe. Diese Zustände beeinflussen negativ die Weichheit und den Widerstand des Knorpels, die Last sollte auf ein Minimum reduziert werden.
- Genetischer Trend, Arthrose wird bei Patienten mit Verwandten mit derselben Pathologie häufiger diagnostiziert.
- Die postmenopausale Phase tritt bei Frauen seit etwa 50 Jahren auf und ist mit Veränderungen im endokrinen System verbunden.
- die zerstörerische Wirkung von Toxinen;
- schlechte Umweltsituation in der Region des Wohnsitzes;
- Sie geben häufig dem Gelenk, manchmal erscheinen die Mikrorisse lange nicht.
- Unterkühlung;
- Pathologie des Lenden- und Gebärmutterhalsteils der Wirbelsäule.
Primäre Arthrose

Die primäre Arthrose wird unabhängig gebildet, dh ohne den Einfluss interner oder externer Ursachen. Die Niederlage entwickelt sich durch den Knorpel Ialina langsam ganz ganz ganz ganz ganz ganz ganz ganz ganz. Es wird selten diagnostiziert, es entspricht nur 3-5% aller Fälle.
Sekundärarthrose
Sekundäre Arthrose wird häufig in einer Ordnung von 95-96% der Fälle festgestellt. Werden durch eine der oben genannten Pathologien verursacht.
Anzeichen und Symptome von Arthrose
Die Manifestationen der Krankheit unterscheiden sich in Abhängigkeit von der Lage kaum, häufiger spiegeln sich die Zeichen auf den Knien auf den Gelenken der Schulter und der Hüfte aufgrund der hohen Belastung wider.
Hauptsächlich Beschwerden werden reduziert auf:
- Schmerz. Sie haben eine geringe Schwere in der Anfangsphase mit der Verschärfung des Empfindungszustands. Zunächst schmerzten die Gelenke erst nach dem Aufwachen, nachdem ein heißes Licht verschwunden war. Im Laufe der Zeit treten die Schmerzen nachts auf, sie stören während und nach dem längeren Spaziergang, der Rasse usw. In der letzten Phase verfolgt das Schmerzsyndrom die ganze Zeit eine Person;
- Begrenzte Breite von Bewegungen. Die Starrheit der Aktionen zeigt anatomische Veränderungen in der Struktur an. Anfangs manifestiert es sich am Morgen, sodass die täglichen Bewegungen begrenzt sind. Um die Erkrankung nicht zu verschlechtern, muss die Arbeit unterschiedlich und leicht sein, andernfalls kann der Patient das Glied nicht im Laufe der Zeit entsperren und drücken. Im Laufe der Zeit besteht das Risiko von Verträgen, aus denen eine Person ihre motorische Fähigkeit verliert.
- Krone während der Bewegungen: Sie gehört zu den nichtspezifischen Manifestationen der Arthrose. Die Krankheit zeichnet sich durch die Kontrolle von Crunch in einer einzigen Artikulation (mit Ausnahme von Polyartrose) aus, begleitet von Beschwerden, Schmerzen und begrenzten Aktionen. Die Natur des Stroms ähnelt der Welle - zu Beginn manifestiert sich schwach und verstärkt sich allmählich, aber in drei Phasen verschwindet sie;
- Schwellung mit Rötung. Es befindet sich in der Nähe des Krankengelenks, dies zeigt einen entzündlichen Prozess und ein Fortschreiten der Krankheit. Der Arzt versteht, dass die Synovialschale beeinflusst wird. Dies führt zu einer Ansammlung von Flüssigkeit und einer Zunahme der Schmerzen.
Deformationen der Gliedmaßen. Es erscheint in einer vernachlässigten Form der Krankheit und zeigt die vollständige Zerstörung des Knorpelgewebes und das Auftreten von Osteophyten an. In diesem Zustand nimmt der Druck auf die Gelenke im oberen und unteren Teil zu, aus dem die Krümmung das gesamte Glied beeinflussen kann.
Es ist wichtig, sich daran zu erinnern, dass die Verformung der Knochen am Bein oft mit Mais verwechselt wird. Das Symptom ist nur auf den ersten Blick schlecht gefährlich, führt aber zu schwerwiegenden Folgen.
Komplikationen
Zunächst werden konservative Therapiemethoden zur Behandlung angewendet. Wenn sie unwirksam sind oder der Patient die Empfehlungen des Arztes ignoriert hat, besteht das Risiko von Konsequenzen.
Mögliche Komplikationen:
- Das Gelenk wird vollständig zerstört;
- Das Glied ist immobilisiert, alle Bewegungen werden extrem schwierig;
- Zwischenwirbelhernien;
- Behinderung;
- Starke Verformung des Artikels oder des gesamten Gliedes.
Diagnose von Arthrose
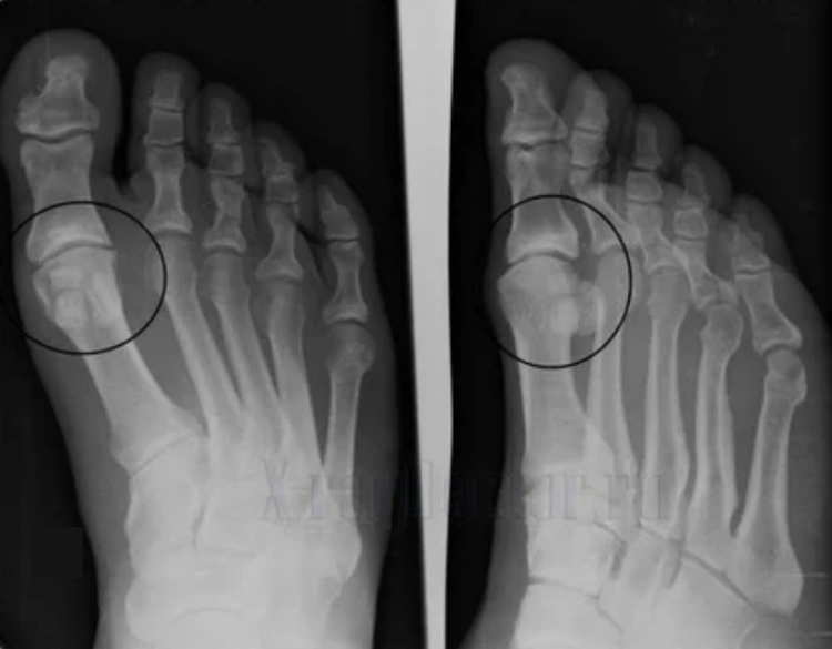
Um eine Diagnose zu stellen, untersuchen Rheumatologen die Beschwerden des Patienten und verschreiben eine X -Ray -Untersuchung. Sehr oft wird die Radiographie in 2 Projektionen verwendet. Der Arzt untersucht das Vorhandensein dystrophischer Störungen im Ialina -Knorpel und in den Knochengelenken. Wenn der Gelenkspalt verringert ist, werden die Knochen deformiert oder abgeflacht, es gibt zystische Formationen auf der Oberfläche des Knorpels, Osteophyten sind offensichtliche Anzeichen von Arthrose. Während der Inspektion zeigt die Arthrose die Instabilität des Gelenks an: die Achse der Gliedmaßen und die Subluxation wird gestört.

Oft kann ein X -Ray -Bild keine vollständigen Informationen über den Zustand des Gelenks bereitstellen. Für eine mehr in der Tiefenstudie wird die computergestützte Tomographie verschrieben, und es ist wirksam, die Knochen zu untersuchen. Die Magnetresonanztomographie wird am häufigsten zum Untersuchung von Weichgeweben verwendet.
Während der Diagnose wird die Beteiligung anderer Spezialisten praktiziert, die dazu beitragen, die Hauptursache der Pathologie zu bestimmen. Sie greifen häufig auf die Konsultation eines Hämatologen, Endokrinologen, Gynäkologen, Orthopädens zurück.
Moderne Behandlung
Es gibt Hunderte von Arthrosis -Therapie, aber sie alle reduzieren sich auf eine Reihe von Methoden:
- Pharmakologische Behandlung. Die Hauptaufgabe besteht darin, die Symptome zu bekämpfen und die Weiterentwicklung eines Verstoßes zu verhindern. Sehr oft werden Analgetika verwendet, um Schmerzen zu lindern, entzündungshemmende Medikamente, die keine Schmerzen haben, um Entzündungen zu bekämpfen, hormonelle Medikamente werden wegen starker Schmerzen und akuter Entzündung verschrieben. Jeder Kurs basiert auf Chondroprotektoren, die die Knorpelgewebe vor Zerstörung schützen. Natürliche Substanzen werden für ihre Produktion verwendet.
- Physiotherapie. Es verbessert die Wirksamkeit von Medikamenten, kämpft mit Entzündungen, lindert Symptome, beschleunigt die Regeneration der Gewebe. Häufig verwendete Ultraschalllasertherapie, elektrisch, magnetisch. Dies umfasst auch Schlammbäder, Anwendungen mit natürlichen Materialien, Radonbädern;
- Medizinische Sportunterricht. Es ist sowohl als Prävention als auch wie die Erleichterung des Zustands nützlich. Nach den richtigen körperlichen Übungen ist es möglich, den Schmerz vollständig zu beseitigen. Es ist nützlich, den Schwimmbad zu besuchen, sich mit Yoga zu beschäftigen und oft zu gehen.
- Manuelle Therapie, Massage hilft bei der Behandlung der Krankheit, da sie zur Vorbeugung der Krümmung der Gelenke beitragen. Nach den Verletzungen kann der manuelle Therapeut das Gelenk ausbauen und seine Fixierung in der falschen Position verhindert. Nach der Massage hat sich der Muskeltonus verbessert, die Durchblutung wird beschleunigt;
- Angemessene Ernährung. Eine gesunde Ernährung hilft dabei, den Körper mit Nährstoffen für Knorpel zu bereichern und das Körpergewicht zu verringern. Eine große Masse erhöht den Verschleiß der Gelenke;
- Die Behandlung mit Santorium-Stay wird die Gelenke stärken. Im Rahmen der Heilung werden den Desinfektoren Baden, Betriebstherapie, Physiotherapieverfahren usw. Angeboten.
- Nicht -traditionelle Therapie. Zur Behandlung von Arthrose, Hütten, Naturmedizin, Kräutern sowie Akupunktur und verschiedenen beliebten Rezepten;
- Eine Operation ist die einzige Möglichkeit, in der dritten Phase der Krankheit in das übliche Leben zurückzukehren. Mit der Endoprothetik können Sie den Patientenknorpel durch die Anlage ersetzen. Der einzige Nachteil des Betriebs sind die hohen Kosten. Ein Verfahren reicht für 15 bis 20 Jahre aus.
Vorbeugende Maßnahmen
So dass die Arthrose des Gelenks im Alter nicht unterschieden wird:
- einen gesunden Lebensstil aufrechterhalten;
- starke Lasten verhindern;
- eine Diät beobachten;
- schlechte Gewohnheiten ausschließen;
- Täglich Gymnastik durchführen;
- Folgen Sie dem Gewicht.
Arthose ist eine gefährliche Krankheit, die viel einfacher zu verhindern ist als Heilung. Mit der rechtzeitigen Erforschung eines Arztes und der Respekt vor den Behandlungsregeln kann der Patient lange Zeit einen familiären Lebensstil aufrechterhalten. Der Mangel an Therapie und Autos -Medikamente verursacht die schnelle Verschlechterung der Krankheit und letztendlich Behinderung.

























